‘Anything is possible’: The sky’s the limit for teen with cerebral palsy
Jack Goldberg is on a mission. “I want other kids to see that if you work hard and put your mind to something, anything can be possible,” he says. “The sky’s the limit.” He should know. At 13, he competed in the National Finals to become one of Canada’s top-ranked pony jumpers in his division. ... Read More about ‘Anything is possible’: The sky’s the limit for teen with cerebral palsy
More details on MIS-C, the post-COVID multi-system inflammatory syndrome in children
Boston Children’s Hospital and collaborators launched the national Overcoming COVID-19 study in April to track children, teens, and young adults hospitalized with COVID-19 across the U.S. In yesterday’s New England Journal of Medicine, investigators provides a fuller picture of the still-mysterious, life-threatening multi-system inflammatory syndrome in children (MIS-C). Key takeaways· The largest case series of ... Read More about More details on MIS-C, the post-COVID multi-system inflammatory syndrome in children
Five running exercises you can do at home
Unlike a lot of athletes, runners haven’t had to take time off during COVID-19. In fact, a lot of athletes have been running until they can safely return to their sports of choice. Whether you’re a new or seasoned runner, strength training is an important way to reduce your risk of injury. These five running ... Read More about Five running exercises you can do at home
Keeping kids safe this summer
Make sure your child remains safe both outside and indoors throughout the summer months by following these summer safety tips from Boston Children's.
Keep summer activities as safe as possible
As we move into a summer with COVID-19, many people are slowly venturing beyond their homes as businesses, beaches, and restaurants begin to open. But amidst the reopening, there are many questions about what types of behaviors are safe, and what might put you or your family at risk. While it’s important to remember that ... Read More about Keep summer activities as safe as possible
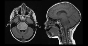
Guidance for assessing treatment response in pediatric brain tumors
Assessing patients’ response to cancer therapy can be challenging, especially in neuro-oncology. Generally, we assess treatment response by a change in tumor size on MRI scan. However, with brain tumors, changes on MRI scan can be difficult to interpret. A decrease in tumor size may indicate treatment is having an effect; however, a drug can ... Read More about Guidance for assessing treatment response in pediatric brain tumors
Spinal fusion surgery during COVID-19
If things had gone according to plan, Jared Cohen would have had spinal fusion surgery during his April vacation. His mom, Sara, planned to homeschool him for the remainder of spring semester and he would have all summer to recover. By fall, he’d be more than ready to return to school. Then COVID-19 happened. In ... Read More about Spinal fusion surgery during COVID-19
Coming to Boston Children’s during COVID-19: Keith’s story
At just 4 years old, Keith Bennett has spent more time in the hospital than most kids ever will. Diagnosed with a chronic kidney disease called nephrotic syndrome, he visits Boston Children’s Hospital several times a week — and has continued to do so throughout the COVID-19 pandemic. Now, as Boston Children’s begins to move ... Read More about Coming to Boston Children’s during COVID-19: Keith’s story
New drug pathway linked with tuberous sclerosis
Tuberous sclerosis complex (TSC) is a neurological disorder causing non-cancerous tumors, called cortical tubers, to grow throughout the brain and body, as well as other conditions like epilepsy and autism. While medications are used to treat some of the manifestations of the disease, safe and more effective treatments targeting disease at a fundamental level are ... Read More about New drug pathway linked with tuberous sclerosis
EEE: A worried parent’s questions, answered
In the midst of the coronavirus outbreak, the last thing we want to think about is another virus. But now that summer is upon us, so are mosquitoes. And with mosquitoes comes the risk of eastern equine encephalitis (EEE), a rare but deadly virus. Last fall in Massachusetts, there were 12 confirmed cases of EEE, ... Read More about EEE: A worried parent’s questions, answered